logo

Copyright ©2016 ThemeMascot

Online Termin buchen
Doctolib BUCHEN

Röntgen

Kurzinfo

Röntgen ist aus der Zahnmedizin nach wie vor nicht wegzudenken. Mittels Röntgenstrahlen lassen sich äußerlich nicht sichtbare Strukturen, Erkrankungen oder für bestimmte Eingriffe problematische Wurzelverläufe feststellen und entsprechende Behandlungsschritte einleiten. Bei dieser Diagnosetechnik macht man sich die Eigenschaft der Röntgenstrahlen zu Nutze, verschiedene Körperbestandteile und Gewebe unterschiedlich stark zu durchdringen. Die Strahlen treffen anschließend in unterschiedlicher Stärke auf ein belichtungsfähiges Filmmaterial auf und bilden die durchstrahlten Körperregionen ab.

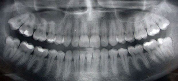
Durch Einzelzahnaufnahmen erstellt der Zahnarzt detaillierte Bilder einzelner Zähne und seiner Nachbarzähne. Das gesamte Gebiss kann zum Beispiel mithilfe des Panoramaröntgengerätes (Orthopantomograph, OPG) aufgenommen werden. Für die Karieserkennung im Zahnzwischenraum bieten sich so genannte Bissflügelaufnahmen an.

Die Weiterentwicklung im medizintechnischen Bereich hat das digitale Röntgen hervorgebracht. Dabei wandelt ein Sensor die absorbierten Röntgenstrahlen in digitale Signale um und macht sie am Computerbildschirm sichtbar.